Iranian Hospital Lung Cancer Dataset
Patient Health Records & Digital Health
Tags and Keywords
Trusted By




"No reviews yet"
Free
About
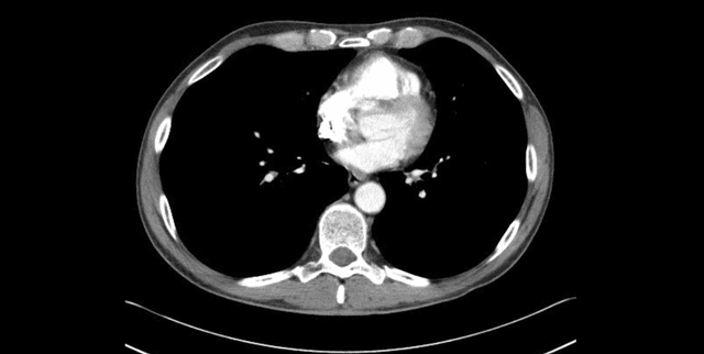
A valuable collection of 364 lung CT-scan images sourced from a hospital in Iran. These scans have been expertly classified by a pulmonologist into two distinct groups: cancerous and non-cancerous. The dataset includes 238 images from patients diagnosed with lung cancer and 126 images from patients with non-cancerous conditions, such as COVID-19. This resource provides a solid foundation for advancing medical imaging projects and lung cancer research focused on diagnosis and classification.
Columns
The metadata file,
ct_scan.csv, details the image classifications and counts. The three columns are:- Unique value: A consistent identifier for the dataset, typically noted as "CT-Scan Images".
- Subdirectory: Specifies the grouping for the raw image files, such as 'Cancerous raw images-jpg' or 'Non-Cancerous'.
- File Count: Numerical values indicating the number of files within each classification group (e.g., 238 or 126).
Distribution
The material consists of 364 lung CT scans structured for binary classification tasks. Supporting the images is a small CSV manifest file (
ct_scan.csv). The data distribution is uneven, featuring 238 cancerous samples and 126 non-cancerous samples, which is suitable for focused model training projects.Usage
This material is ideal for:
- Lung Cancer Detection: Training machine learning models for automated lung cancer detection in medical scans.
- Image Classification: Building algorithms to differentiate between cancerous and non-cancerous images.
- Medical Imaging Research: Supporting advanced research aimed at improving diagnostic accuracy for various lung diseases through enhanced CT analysis.
Coverage
The images were collected exclusively from patients treated at a single hospital located in Iran. The material covers clinical diagnoses, specifically patients classified with lung cancer or non-cancerous lung conditions, including COVID-19 cases. The material was initially published around 2020.
License
Creative Commons Attribution 4.0 International (CC BY 4.0)
Who Can Use It
Data scientists and machine learning specialists creating diagnostic tools. Medical researchers and academics focused on oncology and diagnostic imaging techniques. Developers needing real-world medical data for binary classification algorithm development.
Dataset Name Suggestions
- Lung Cancer vs. Non-Cancerous CT Scans.
- Medical Imaging Dataset for Cancer Detection.
- Iranian Hospital Lung CT Scans.
Attributes
Original Data Source: Iranian Hospital Lung Cancer Dataset
Loading...
