Biglycan Cancer Biomarker Visual Data
Patient Health Records & Digital Health
Tags and Keywords
Trusted By




"No reviews yet"
Free
About
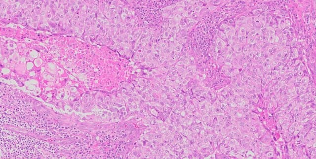
Provides high-quality images of histological sections focused on the visual identification of breast cancer using the Biglycan biomarker. This data product is designed for diagnostic research, containing sections clearly labelled as either cancerous or healthy tissue. The visual material is essential for training computer vision models to distinguish between affected and unaffected biological samples, supporting advancements in automated medical diagnostics. The images were generated by Vitro Vivo Biotech, with collaboration from several key academic and medical institutions.
Columns
The dataset structure implicitly maps image files to diagnostic outcomes. Based on the provided index sample, the key data points are:
- imagem: The file path referencing the specific histological section image (e.g., a path within the /CANCER/ directory).
- Cancer Status Indicator: A numerical or categorical label indicating the presence (e.g., 1) or absence (implied 0) of breast cancer in the corresponding image.
Distribution
The collection is organised into two primary directories: CANCER and HEALTHY, reflecting the classification of the histological images. The file format for the visual data includes image files, such as PNGs, which represent the sections. While a precise file size or record count is not available, the usability rating is noted as 10.00. Crucially for researchers planning long-term use, the expected update frequency for this dataset is explicitly stated as never.
Usage
This data product is highly valuable for several key applications:
- Machine Learning Model Development: Training and testing deep learning algorithms for medical image classification and segmentation.
- Biomarker Research: Investigating the morphological characteristics and expression patterns of the Biglycan biomarker in cancerous versus healthy tissue.
- Computer-Aided Diagnostics (CAD): Creating prototypes for systems that can automatically detect malignant cells from slide scans.
Coverage
The data is focused entirely on histological sections related to breast tissue and the Biglycan biomarker. The creation date of the dataset is 26 January 2023. Contributing and acknowledging institutions are based in Brazil, including Universidade do Vale do Rio dos Sinos, Hospital de Clinicas de Porto Alegre, Universidade Federal do Rio Grande do Sul, and Instituto Federal de Educacao Ciencia e Tecnologia de Mato Grosso. The scope does not detail specific patient demographics or precise geographic origin beyond the institutional affiliations.
License
CC0: Public Domain
Who Can Use It
- AI/ML Developers: Individuals seeking labelled medical image data to develop high-accuracy diagnostic tools.
- Medical and Pathology Researchers: Those studying cancer biology and the role of specific biomarkers like Biglycan.
- Educational Institutions: For instruction in digital pathology, image analysis, and oncology.
Dataset Name Suggestions
- Biglycan Breast Cancer Histological Image Collection
- Digital Pathology Images for Breast Cancer Classification
- Biglycan Cancer Biomarker Visual Data
Attributes
Original Data Source: Biglycan Cancer Biomarker Visual Data
Loading...
