Cardiomegaly Chest-CT Analysis Data
Patient Health Records & Digital Health
Tags and Keywords
Trusted By




"No reviews yet"
Free
About
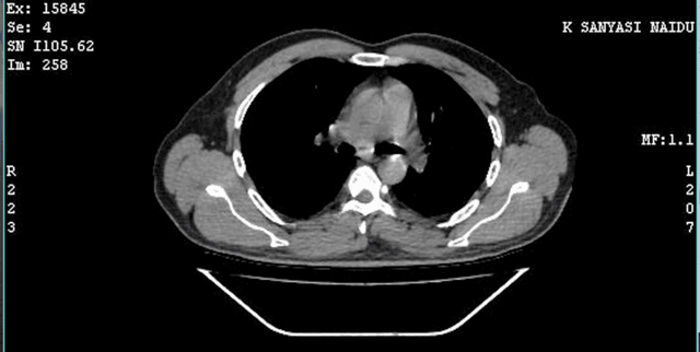
Focuses on diagnostic medical imaging data derived from Computed Tomography (CT or CAT scans), which are medical imaging tests used to generate multiple internal images of the body. This collection provides metadata related to DICOM images captured from 20 subjects. The data is significant for research into precise diagnostics, specifically for identifying Cardiomegaly, as it includes labels for 11 subjects identified with the condition and 9 healthy subjects. This resource supports the analysis of medical imagery for targeted health conditions.
Columns
- Sno: Serial Number or index for the record, ranging from 1 to 20.
- Patientid: Unique identifier assigned to each subject in the study.
- target: A binary label indicating the diagnostic outcome, typically 1 for Cardiomegaly and 0 for healthy subjects.
Distribution
The primary data file is in CSV format (
Chest-Ct.csv), which contains metadata derived from the original DICOM images. The file is quite small (293 B) and consists of three columns and 20 valid records. All fields are complete with 100% validity and no missing values. This is a static collection that is not scheduled for future updates.Usage
Ideal applications include developing machine learning models for the classification of medical images based on CT data, particularly in Image-to-Image analysis tasks. It can be used to train algorithms to predict heart conditions like Cardiomegaly. The data is also suitable for academic studies in biomedical data analysis and educational purposes focused on diagnostic imaging tests.
Coverage
The data scope is limited to 20 anonymised subjects. The collection effort involved institutions such as Lincoln University College and Omega Hospitals. The subjects are categorised into two groups: those with Cardiomegaly and those who are healthy. Specific details regarding the geographic origin, exact age demographics, or the timeline of data capture are not provided.
License
CC0: Public Domain
Who Can Use It
- Data Scientists: For training and testing image classification models related to medical conditions.
- Medical Researchers: To validate diagnostic criteria and statistical findings concerning Cardiomegaly detection using CT scans.
- Students/Academics: For educational projects focusing on health conditions and image analysis data.
Dataset Name Suggestions
- CT Diagnostic Image Metadata
- Cardiomegaly Chest-CT Analysis Data
- Medical Imaging Subject Labels
- Healthy vs. Cardiomegaly CT Study
Attributes
Original Data Source: Cardiomegaly Chest-CT Analysis Data
Loading...
